Dental Implants: Case 3 - Freeport
Description
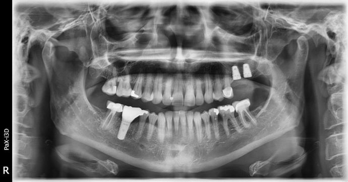
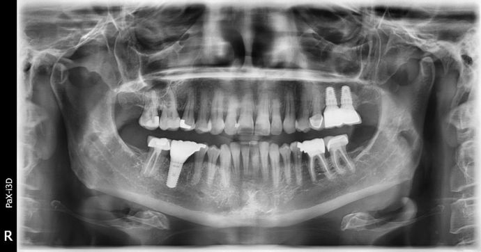
2 implants were placed on the upper left side, we had very little bone to work with. A 6 mm sinus augmentation was needed on the back implant and a 4 mm augmentation was needed on the more forward one. We did all of that at the time of implant placement here at the office. We finished the case using a fixed bridge to more evenly spread the load, we have a ton of bone that can be seen around the implants and it is still calcifying/healing towards the tops of the implants! I love complicated surgical cases like this, there is such a sense of accomplishment! I'll just borrow a saying here: WINNING!





