Dental Implants: Case 2 - Sweeny
Description
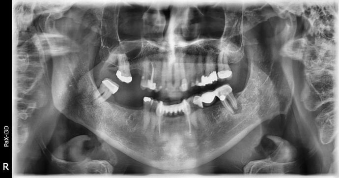
Another Great case we finished up! Patient had lost a bridge on lower left side due to a cracked root and large decay on the other anchor tooth. Bridge was sectioned and teeth were removed. On the right side, wisdom tooth was hyper-erupted and had poor prognosis due to bone loss. Wisdom tooth was removed. Left side had bone graft placed and three months later 3 implants were placed. Right side had 2 implants placed at the same time. After healing, Implants were restored with bridge on left side and separate crowns on right side. The model is of the patient before surgery (no photos were available), actual photo is of patient after restorations finished. LOVE THE OUTCOME!



