Dental Bridge: Case 2 - West Columbia, TX
Description
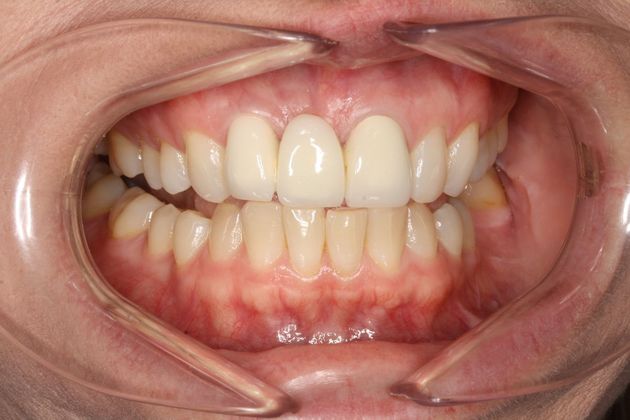
LOVE the finish here! Patient had a bridge she hated as it looked fake and stuck out from the rest of the teeth - she hated to smile. The results were amazing! You can hardly tell there is anything there and the color match of the gums was perfect (yes, there is pink porcelain in there)!



