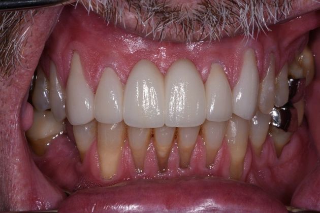
Dental Bridge: Case 1 - Lake Jackson, TX
Description
Patient had trauma to the front teeth and ended up shattering them in several places above and below the gumline. The only option was extraction. A bridge was fabricated to restore function and aesthetics. The outcome is fantastic!

