Cosmetic Dentistry: Case 2 - Bay City
Description
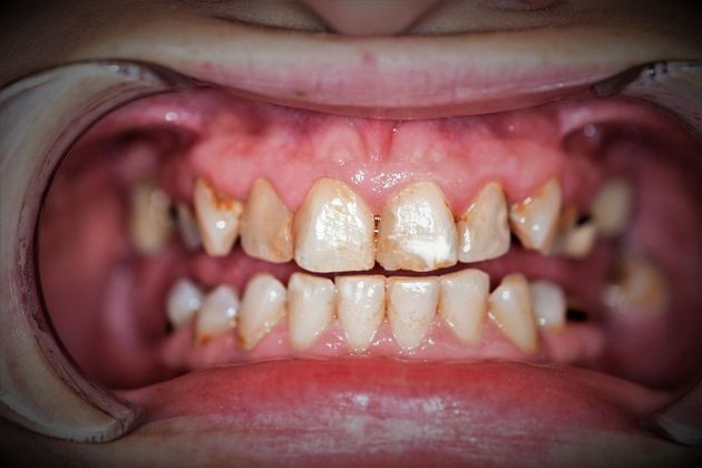
Patient wanted a "nice smile". Teeth had some uneven discoloration and cavities throughout. Premium crowns were fabricated after all cavities were taken care of and the results were awesome!
Patient wanted a "nice smile". Teeth had some uneven discoloration and cavities throughout. Premium crowns were fabricated after all cavities were taken care of and the results were awesome!
Dr. Adam Osga and his team strive to provide leading dental care. He incorporates advanced technology, participates in ongoing education, and is a member of:
To schedule your consultation, contact us online or call us at (979) 798-4493.
